3Dリポアイリフト の症例写真

Case photos

オザキクリニックで治療を行った方の
症例写真をご覧いただけます。

3Dリポアイリフト の症例写真 3Dリポアイリフト の症例写真

3Dリポアイリフト の症例写真

3Dリポアイリフト の症例写真

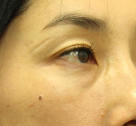
  • 目の下のクマ治療
  • Before
    40代女性の3Dリポアイリフト  Before 症例写真
    40代女性

    施術前

    After
    40代女性の3Dリポアイリフト  After 症例写真
    40代女性

    施術1ヶ月後

アングル別・施術経過別

  • 目の下のクマ治療
  • 40代女性の3Dリポアイリフト  Before 症例写真
    40代女性

    【Before】施術前

    40代女性の3Dリポアイリフト  After 症例写真
    40代女性

    【After】施術1ヶ月後

  • 40代女性の3Dリポアイリフト  Before 症例写真
    40代女性

    【Before】施術前

    40代女性の3Dリポアイリフト  After 症例写真
    40代女性

    【After】施術1ヶ月後

施術の詳細

施術時間 1時間半~2時間
ダウンタイム 【腫れ・内出血(目元)】 1~2週間程度/【腫れ・内出血(吸引部位)】 2週間~1ヶ月程度
メイク アイメイク以外は施術後2日目から、アイメイクは施術後4日目から可能
シャワー・洗顔・洗髪 翌日から可能(首から下であれば当日からでも可能)
入浴 施術後8日目から可能
コンタクトレンズの着用 施術後8日目から可能
リスク
ダウンタイム:【腫れ・内出血(目元)】 1~2週間程度/【腫れ・内出血(吸引部位)】 2週間~1ヶ月程度

3Dリポアイリフト の症例写真

Before

Before

After

After

施術名

3Dリポアイリフト

お悩み名

目の下のクマ治療
リスク:ダウンタイム:【腫れ・内出血(目元)】 1~2週間程度/【腫れ・内出血(吸引部位)】 2週間~1ヶ月程度
施術の価格:
250,000円〜600,000円 (税込 275,000円〜 660,000円)
Before

Before

After

After

施術名

3Dリポアイリフト

お悩み名

目の下のクマ治療
リスク:ダウンタイム:【腫れ・内出血(目元)】 1~2週間程度/【腫れ・内出血(吸引部位)】 2週間~1ヶ月程度
施術の価格:
250,000円〜600,000円 (税込 275,000円〜 660,000円)
Before

Before

After

After

施術名

3Dリポアイリフト

お悩み名

目の下のクマ治療、目元のたるみ、唇・口元の整形
リスク:ダウンタイム:【腫れ・内出血(目元)】 1~2週間程度/【腫れ・内出血(吸引部位)】 2週間~1ヶ月程度
施術の価格:
250,000円〜600,000円 (税込 275,000円〜 660,000円)
Before

Before

After

After

施術名

3Dリポアイリフト

お悩み名

目の下のクマ治療
リスク:ダウンタイム:【腫れ・内出血(目元)】 1~2週間程度/【腫れ・内出血(吸引部位)】 2週間~1ヶ月程度
施術の価格:
250,000円〜600,000円 (税込 275,000円〜 660,000円)
Before

Before

After

After

施術名

3Dリポアイリフト

お悩み名

目の下のクマ治療、目元のたるみ、シワ・たるみ
リスク:ダウンタイム:【腫れ・内出血(目元)】 1~2週間程度/【腫れ・内出血(吸引部位)】 2週間~1ヶ月程度
施術の価格:
250,000円〜600,000円 (税込 275,000円〜 660,000円)
Before

Before

After

After

施術名

3Dリポアイリフト

お悩み名

目の下のクマ治療、目元のたるみ
リスク:ダウンタイム:【腫れ・内出血(目元)】 1~2週間程度/【腫れ・内出血(吸引部位)】 2週間~1ヶ月程度
施術の価格:
250,000円〜600,000円 (税込 275,000円〜 660,000円)