真皮線維芽細胞療法の症例写真

Case photos

オザキクリニックで治療を行った方の
症例写真をご覧いただけます。

真皮線維芽細胞療法の症例写真 真皮線維芽細胞療法の症例写真

真皮線維芽細胞療法の症例写真

真皮線維芽細胞療法の症例写真

  • 再生医療(顔)
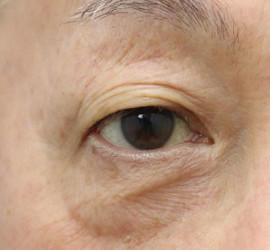
  • Before
    60代男性の真皮線維芽細胞療法 Before 症例写真
    60代男性

    施術前

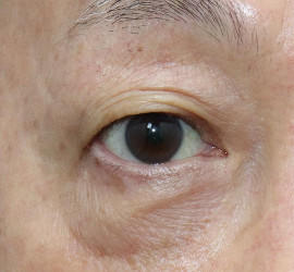
    After
    60代男性の真皮線維芽細胞療法 After 症例写真
    60代男性

    2回移植 3週間後

アングル別・施術経過別

  • 再生医療(顔)
  • 60代男性の真皮線維芽細胞療法 Before 症例写真
    60代男性

    上まぶた・下まぶたのシワに注入

    60代男性の真皮線維芽細胞療法 After 症例写真
    60代男性

    皮膚に厚みが出てシワ解消

  • 60代男性の真皮線維芽細胞療法 Before 症例写真
    60代男性

    注入前のまぶた

    60代男性の真皮線維芽細胞療法 After 症例写真
    60代男性

    注入後のまぶた

  • 60代男性の真皮線維芽細胞療法 Before 症例写真
    60代男性

    注入前の上まぶた

    60代男性の真皮線維芽細胞療法 After 症例写真
    60代男性

    注入後の上まぶた

施術の詳細

施術時間 30~60分
痛み 【皮膚採取】麻酔を使用するため痛みはほとんどなし【移植時】針を刺すチクッとした痛み
ダウンタイム 【腫れ】 1、2日程度/【内出血】 3~5日程度(メイクで隠せる程度)
メイク 当日から可能
入浴 当日から可能(長時間の入浴は控える)
リスク
痛み:【皮膚採取】麻酔を使用するため痛みはほとんどなし【移植時】針を刺すチクッとした痛み ダウンタイム:【腫れ】 1、2日程度/【内出血】 3~5日程度(メイクで隠せる程度)

真皮線維芽細胞療法の症例写真

Before

Before

After

After

施術名

真皮線維芽細胞療法

お悩み名

再生医療(顔)
リスク:痛み:【皮膚採取】麻酔を使用するため痛みはほとんどなし【移植時】針を刺すチクッとした痛み ダウンタイム:【腫れ】 1、2日程度/【内出血】 3~5日程度(メイクで隠せる程度)
施術の価格:
652,000円〜1,595,000円 (税込 717,200円〜 1,754,500円)
Before

Before

After

After

施術名

真皮線維芽細胞療法

お悩み名

再生医療(顔)
リスク:痛み:【皮膚採取】麻酔を使用するため痛みはほとんどなし【移植時】針を刺すチクッとした痛み ダウンタイム:【腫れ】 1、2日程度/【内出血】 3~5日程度(メイクで隠せる程度)
施術の価格:
652,000円〜1,595,000円 (税込 717,200円〜 1,754,500円)
Before

Before

After

After

施術名

真皮線維芽細胞療法

お悩み名

再生医療(顔)
リスク:痛み:【皮膚採取】麻酔を使用するため痛みはほとんどなし【移植時】針を刺すチクッとした痛み ダウンタイム:【腫れ】 1、2日程度/【内出血】 3~5日程度(メイクで隠せる程度)
施術の価格:
652,000円〜1,595,000円 (税込 717,200円〜 1,754,500円)
Before

Before

After

After

施術名

真皮線維芽細胞療法

お悩み名

再生医療(顔)
リスク:痛み:【皮膚採取】麻酔を使用するため痛みはほとんどなし【移植時】針を刺すチクッとした痛み ダウンタイム:【腫れ】 1、2日程度/【内出血】 3~5日程度(メイクで隠せる程度)
施術の価格:
652,000円〜1,595,000円 (税込 717,200円〜 1,754,500円)
Before

Before

After

After

施術名

真皮線維芽細胞療法

お悩み名

再生医療(顔)
リスク:痛み:【皮膚採取】麻酔を使用するため痛みはほとんどなし【移植時】針を刺すチクッとした痛み ダウンタイム:【腫れ】 1、2日程度/【内出血】 3~5日程度(メイクで隠せる程度)
施術の価格:
652,000円〜1,595,000円 (税込 717,200円〜 1,754,500円)
Before

Before

After

After

施術名

真皮線維芽細胞療法

お悩み名

再生医療(顔)
リスク:痛み:【皮膚採取】麻酔を使用するため痛みはほとんどなし【移植時】針を刺すチクッとした痛み ダウンタイム:【腫れ】 1、2日程度/【内出血】 3~5日程度(メイクで隠せる程度)
施術の価格:
652,000円〜1,595,000円 (税込 717,200円〜 1,754,500円)