二重整形・目元の整形の症例写真

Case photos

オザキクリニックで治療を行った方の
症例写真をご覧いただけます。

二重整形・目元の整形の症例写真 二重整形・目元の整形の症例写真

二重整形・目元の整形ならオザキクリニックへ。パッチリとした印象の目元になりたい、目の横幅や縦幅を広げたい、目を開く力を改善させたいなど、お客様一人ひとりのご希望にあわせた治療法をご提供します。まずはお気軽にご相談ください。

二重整形・目元の整形の症例写真一覧

二重整形・目元の整形の症例写真

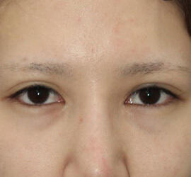
30代女性の二重整形・目元の整形 Before 症例写真

Before

30代女性の二重整形・目元の整形 After 症例写真

After

施術名 二重埋没法
お悩み名 二重整形・目元の整形

リスク:ダウンタイム:【腫れ】 2~5日程度/【内出血】 2週間程度

施術の概要
『二重埋没法』は、医療用の糸でまぶたを縫い留めることで、二重まぶたを叶える施術です。皮膚を切らずにナチュラルな二重まぶたになれることから、手軽なプチ整形として人気のある治療法です。二重まぶたを形成する施術の中でも、ダウンタイムが少ないのが特長です。
施術の価格
92,000円〜298,000円 (税込 101,200円〜 327,800円)
30代女性の二重整形・目元の整形 Before 症例写真

Before

30代女性の二重整形・目元の整形 After 症例写真

After

施術名 二重埋没法
お悩み名 二重整形・目元の整形

リスク:ダウンタイム:【腫れ】 2~5日程度/【内出血】 2週間程度

施術の概要
『二重埋没法』は、医療用の糸でまぶたを縫い留めることで、二重まぶたを叶える施術です。皮膚を切らずにナチュラルな二重まぶたになれることから、手軽なプチ整形として人気のある治療法です。二重まぶたを形成する施術の中でも、ダウンタイムが少ないのが特長です。
施術の価格
92,000円〜298,000円 (税込 101,200円〜 327,800円)
50代女性の二重整形・目元の整形 Before 症例写真

Before

50代女性の二重整形・目元の整形 After 症例写真

After

施術名 二重埋没法
お悩み名 二重整形・目元の整形

リスク:ダウンタイム:【腫れ】 2~5日程度/【内出血】 2週間程度

施術の概要
『二重埋没法』は、医療用の糸でまぶたを縫い留めることで、二重まぶたを叶える施術です。皮膚を切らずにナチュラルな二重まぶたになれることから、手軽なプチ整形として人気のある治療法です。二重まぶたを形成する施術の中でも、ダウンタイムが少ないのが特長です。
施術の価格
92,000円〜298,000円 (税込 101,200円〜 327,800円)
20代男性の二重整形・目元の整形 Before 症例写真

Before

20代男性の二重整形・目元の整形 After 症例写真

After

施術名 二重埋没法
お悩み名 二重整形・目元の整形

リスク:ダウンタイム:【腫れ】 2~5日程度/【内出血】 2週間程度

施術の概要
『二重埋没法』は、医療用の糸でまぶたを縫い留めることで、二重まぶたを叶える施術です。皮膚を切らずにナチュラルな二重まぶたになれることから、手軽なプチ整形として人気のある治療法です。二重まぶたを形成する施術の中でも、ダウンタイムが少ないのが特長です。
施術の価格
92,000円〜298,000円 (税込 101,200円〜 327,800円)
20代女性の二重整形・目元の整形 Before 症例写真

Before

20代女性の二重整形・目元の整形 After 症例写真

After

施術名 タレ目・でか目形成
お悩み名 二重整形・目元の整形

リスク:ダウンタイム:【腫れ】 1週間程度/【内出血】 2週間程度

施術の概要
『タレ目・でか目形成』は目を大きくみせるようにする施術で、目の中央から目尻側にかけて下まぶたを下げる手術です。目の縦幅が大きく広がり、女性らしい優しい目元になれます。目をより大きく、かわいらしい目元にしたい方に『タレ目・でか目形成』がおすすめです。
施術の価格
228,000円〜328,000円 (税込 250,800円〜 360,800円)
20代女性の二重整形・目元の整形 Before 症例写真

Before

20代女性の二重整形・目元の整形 After 症例写真

After

施術名 タレ目・でか目形成
お悩み名 二重整形・目元の整形

リスク:ダウンタイム:【腫れ】 1週間程度/【内出血】 2週間程度

施術の概要
『タレ目・でか目形成』は目を大きくみせるようにする施術で、目の中央から目尻側にかけて下まぶたを下げる手術です。目の縦幅が大きく広がり、女性らしい優しい目元になれます。目をより大きく、かわいらしい目元にしたい方に『タレ目・でか目形成』がおすすめです。
施術の価格
228,000円〜328,000円 (税込 250,800円〜 360,800円)
20代女性の二重整形・目元の整形 Before 症例写真

Before

20代女性の二重整形・目元の整形 After 症例写真

After

施術名 タレ目・でか目形成
お悩み名 二重整形・目元の整形

リスク:ダウンタイム:【腫れ】 1週間程度/【内出血】 2週間程度

施術の概要
『タレ目・でか目形成』は目を大きくみせるようにする施術で、目の中央から目尻側にかけて下まぶたを下げる手術です。目の縦幅が大きく広がり、女性らしい優しい目元になれます。目をより大きく、かわいらしい目元にしたい方に『タレ目・でか目形成』がおすすめです。
施術の価格
228,000円〜328,000円 (税込 250,800円〜 360,800円)
20代女性の二重整形・目元の整形 Before 症例写真

Before

20代女性の二重整形・目元の整形 After 症例写真

After

施術名 タレ目・でか目形成
お悩み名 二重整形・目元の整形

リスク:ダウンタイム:【腫れ】 1週間程度/【内出血】 2週間程度

施術の概要
『タレ目・でか目形成』は目を大きくみせるようにする施術で、目の中央から目尻側にかけて下まぶたを下げる手術です。目の縦幅が大きく広がり、女性らしい優しい目元になれます。目をより大きく、かわいらしい目元にしたい方に『タレ目・でか目形成』がおすすめです。
施術の価格
228,000円〜328,000円 (税込 250,800円〜 360,800円)
30代女性の二重整形・目元の整形 Before 症例写真

Before

30代女性の二重整形・目元の整形 After 症例写真

After

施術名 タレ目・でか目形成
お悩み名 二重整形・目元の整形

リスク:ダウンタイム:【腫れ】 1週間程度/【内出血】 2週間程度

施術の概要
『タレ目・でか目形成』は目を大きくみせるようにする施術で、目の中央から目尻側にかけて下まぶたを下げる手術です。目の縦幅が大きく広がり、女性らしい優しい目元になれます。目をより大きく、かわいらしい目元にしたい方に『タレ目・でか目形成』がおすすめです。
施術の価格
228,000円〜328,000円 (税込 250,800円〜 360,800円)
20代女性の二重整形・目元の整形 Before 症例写真

Before

20代女性の二重整形・目元の整形 After 症例写真

After

施術名 タレ目・でか目形成
お悩み名 二重整形・目元の整形

リスク:ダウンタイム:【腫れ】 1週間程度/【内出血】 2週間程度

施術の概要
『タレ目・でか目形成』は目を大きくみせるようにする施術で、目の中央から目尻側にかけて下まぶたを下げる手術です。目の縦幅が大きく広がり、女性らしい優しい目元になれます。目をより大きく、かわいらしい目元にしたい方に『タレ目・でか目形成』がおすすめです。
施術の価格
228,000円〜328,000円 (税込 250,800円〜 360,800円)