タレ目・でか目形成の症例写真

Case photos

オザキクリニックで治療を行った方の
症例写真をご覧いただけます。

タレ目・でか目形成の症例写真 タレ目・でか目形成の症例写真

タレ目・でか目形成の症例写真

タレ目・でか目形成、目頭切開の症例写真

  • 二重整形・目元の整形
  • Before
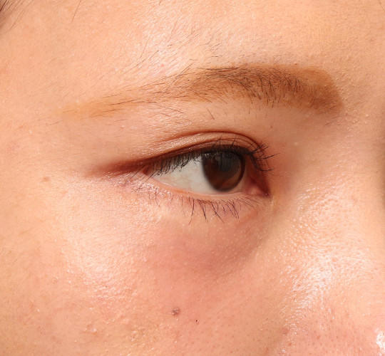
    20代女性のタレ目・でか目形成 Before 症例写真
    20代女性

    限界までたれ目にしたいご要望

    After
    20代女性のタレ目・でか目形成 After 症例写真
    20代女性

    たれ目形成・目尻切開・脂肪除去

    6ヶ月後

アングル別・施術経過別

  • 二重整形・目元の整形
  • 20代女性のタレ目・でか目形成 Before 症例写真
    20代女性

    施術前

    20代女性のタレ目・でか目形成 After 症例写真
    20代女性

    目の開きがよくなりつり目が丸く優しい目元に

  • 20代女性のタレ目・でか目形成 Before 症例写真
    20代女性
    20代女性のタレ目・でか目形成 After 症例写真
    20代女性
  • 20代女性のタレ目・でか目形成 Before 症例写真
    20代女性
    20代女性のタレ目・でか目形成 After 症例写真
    20代女性

施術の詳細

時間 1時間半~2時間
ダウンタイム 【腫れ】 1週間程度/【内出血】 2週間程度
メイク アイメイク以外は施術後2日目から、アイメイクは施術後4日目から可能
シャワー・洗顔・洗髪 翌日から可能(首から下であれば当日からでも可能)
入浴 施術後8日目(抜糸後)から可能
コンタクトレンズの着用 施術後8日目(抜糸後)から可能
リスク
ダウンタイム:【腫れ】 1週間程度/【内出血】 2週間程度

タレ目・でか目形成の症例写真

Before

Before

After

After

施術名

タレ目・でか目形成

お悩み名

二重整形・目元の整形
リスク:ダウンタイム:【腫れ】 1週間程度/【内出血】 2週間程度
施術の価格:
228,000円〜328,000円 (税込 250,800円〜 360,800円)
Before

Before

After

After

施術名

タレ目・でか目形成

お悩み名

二重整形・目元の整形
リスク:ダウンタイム:【腫れ】 1週間程度/【内出血】 2週間程度
施術の価格:
228,000円〜328,000円 (税込 250,800円〜 360,800円)
Before

Before

After

After

施術名

タレ目・でか目形成

お悩み名

二重整形・目元の整形
リスク:ダウンタイム:【腫れ】 1週間程度/【内出血】 2週間程度
施術の価格:
228,000円〜328,000円 (税込 250,800円〜 360,800円)
Before

Before

After

After

施術名

タレ目・でか目形成

お悩み名

二重整形・目元の整形
リスク:ダウンタイム:【腫れ】 1週間程度/【内出血】 2週間程度
施術の価格:
228,000円〜328,000円 (税込 250,800円〜 360,800円)
Before

Before

After

After

施術名

目つき矯正

お悩み名

二重整形・目元の整形
リスク:腫れ・赤み:1~2週間/内出血:1~2週間
施術の価格:
312,000円〜412,000円 (税込 343,200円〜 453,200円)
Before

Before

After

After

施術名

タレ目・でか目形成

お悩み名

二重整形・目元の整形
リスク:ダウンタイム:【腫れ】 1週間程度/【内出血】 2週間程度
施術の価格:
228,000円〜328,000円 (税込 250,800円〜 360,800円)