目の下の脱脂 の症例写真

Case photos

オザキクリニックで治療を行った方の
症例写真をご覧いただけます。

目の下の脱脂 の症例写真 目の下の脱脂 の症例写真

目の下の脱脂 の症例写真

目の下の脱脂 の症例写真

  • 目の下のクマ治療
  • Before
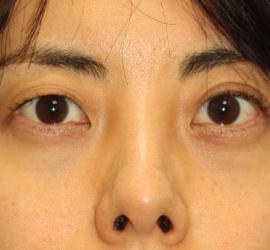
    30代女性の目の下の脱脂  Before 症例写真
    30代女性

    施術前

    After
    30代女性の目の下の脱脂  After 症例写真
    30代女性

    施術3ヵ月後

アングル別・施術経過別

  • 目の下のクマ治療
  • 30代女性の目の下の脱脂  Before 症例写真
    30代女性

    【Before】施術前

    30代女性の目の下の脱脂  After 症例写真
    30代女性

    【After】施術3ヵ月後

施術の詳細

施術時間 40~50分
痛み 麻酔を使用するため術中の痛みはありません。
ダウンタイム 【腫れ】 1週間程度/【内出血】 2週間程度
メイク アイメイク以外は施術後2日目から、アイメイクは施術後4日目から可能(目の周りをこすらないよう注意してください)
シャワー・洗顔・洗髪 翌日から可能(首から下であれば当日からでも可能ですが、傷口を濡らさないよう注意してください)
入浴 施術後8日目から可能
コンタクトレンズの着用 施術後8日目から可能(違和感がある場合は、さらに2~3日ほどご使用を控えてください)
リスク
痛み:麻酔を使用するため術中の痛みはありません。 ダウンタイム:【腫れ】 1週間程度/【内出血】 2週間程度

目の下の脱脂 の症例写真

Before

Before

After

After

施術名

目の下の脱脂

お悩み名

目の下のクマ治療、シワ・たるみ
リスク:痛み:麻酔を使用するため術中の痛みはありません。 ダウンタイム:【腫れ】 1週間程度/【内出血】 2週間程度
施術の価格:
100,000円〜200,000円 (税込 110,000円〜 220,000円)
Before

Before

After

After

施術名

目の下の脱脂

お悩み名

目の下のクマ治療、シワ・たるみ
リスク:痛み:麻酔を使用するため術中の痛みはありません。 ダウンタイム:【腫れ】 1週間程度/【内出血】 2週間程度
施術の価格:
100,000円〜200,000円 (税込 110,000円〜 220,000円)
Before

Before

After

After

施術名

目の下の脱脂

お悩み名

目の下のクマ治療、シワ・たるみ
リスク:痛み:麻酔を使用するため術中の痛みはありません。 ダウンタイム:【腫れ】 1週間程度/【内出血】 2週間程度
施術の価格:
100,000円〜200,000円 (税込 110,000円〜 220,000円)
Before

Before

After

After

施術名

目の下の脱脂

お悩み名

目の下のクマ治療、シワ・たるみ
リスク:痛み:麻酔を使用するため術中の痛みはありません。 ダウンタイム:【腫れ】 1週間程度/【内出血】 2週間程度
施術の価格:
100,000円〜200,000円 (税込 110,000円〜 220,000円)
Before

Before

After

After

施術名

目の下の脱脂

お悩み名

目の下のクマ治療、シワ・たるみ、エラ・アゴ・小顔
リスク:痛み:麻酔を使用するため術中の痛みはありません。 ダウンタイム:【腫れ】 1週間程度/【内出血】 2週間程度
施術の価格:
100,000円〜200,000円 (税込 110,000円〜 220,000円)
Before

Before

After

After

施術名

目の下の脱脂

お悩み名

目の下のクマ治療、シワ・たるみ
リスク:痛み:麻酔を使用するため術中の痛みはありません。 ダウンタイム:【腫れ】 1週間程度/【内出血】 2週間程度
施術の価格:
100,000円〜200,000円 (税込 110,000円〜 220,000円)