目の下の脱脂 の症例写真
目の下の脱脂 、ヒアルロン酸注射 の症例写真
-
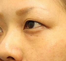
- Before
-
20代女性施術前
- After
-
20代女性施術2ヵ月後
アングル別・施術経過別
-
-
20代女性【Before】施術前
-
20代女性【After】施術2ヵ月後
-
施術の詳細
| 施術時間 | 40~50分 |
|---|---|
| 痛み | 麻酔を使用するため術中の痛みはありません。 |
| ダウンタイム | 【腫れ】 1週間程度/【内出血】 2週間程度 |
| メイク | アイメイク以外は施術後2日目から、アイメイクは施術後4日目から可能(目の周りをこすらないよう注意してください) |
| シャワー・洗顔・洗髪 | 翌日から可能(首から下であれば当日からでも可能ですが、傷口を濡らさないよう注意してください) |
| 入浴 | 施術後8日目から可能 |
| コンタクトレンズの着用 | 施術後8日目から可能(違和感がある場合は、さらに2~3日ほどご使用を控えてください) |
- リスク
- 痛み:麻酔を使用するため術中の痛みはありません。 ダウンタイム:【腫れ】 1週間程度/【内出血】 2週間程度



