シミ・そばかすの症例写真

Case photos

オザキクリニックで治療を行った方の
症例写真をご覧いただけます。

シミ・そばかすの症例写真 シミ・そばかすの症例写真

シミ・そばかすは、美容医療の力で改善が可能です。オザキクリニックでは、目立つシミをピンポイントで取りたい、顔に点在しているシミやそばかすを一掃させたいなど、お客様一人ひとりのご希望にあわせた治療法をご提供します。まずはお気軽にご相談ください。

シミ・そばかすの症例写真一覧

シミ・そばかすの症例写真

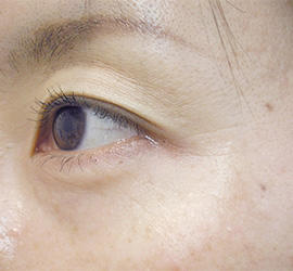
20代女性のシミ・そばかす Before 症例写真

Before

20代女性のシミ・そばかす After 症例写真

After

施術名 メディカル美肌セレクト
お悩み名 美肌治療、シワ・たるみ、シミ・そばかす、毛穴・黒ずみ

リスク:痛み:ほとんどなし(メニューによって部分的に軽い痛み) ダウンタイム:ほとんどなし

施術の概要
シミ、シワ、たるみ、毛穴の開き、乾燥…と、一人ひとり肌のお悩みは異なり、またその時のコンディションによっても変わってきます。そこで、その時の肌状態に合わせて、柔軟に、自由にコースをカスタマイズできるセレクトコースを用意しました!オザキクリニックが厳選した美肌メニューのなかから、肌の状態やお悩みに合わせて自由にカスタマイズして、あなただけのオーダーメイドコースをつくることができます。自分の肌にベストな治療が受けられるので効果も違います。セレクトメニューはいずれも痛み・ダウンタイムがほとんどなく、エステ感覚で受けられるのも魅力です。
施術の価格
18,000円〜105,000円 (税込 19,800円〜 115,500円)
20代女性のシミ・そばかす Before 症例写真

Before

20代女性のシミ・そばかす After 症例写真

After

施術名 メディカル美肌セレクト
お悩み名 美肌治療、シワ・たるみ、シミ・そばかす、毛穴・黒ずみ

リスク:痛み:ほとんどなし(メニューによって部分的に軽い痛み) ダウンタイム:ほとんどなし

施術の概要
シミ、シワ、たるみ、毛穴の開き、乾燥…と、一人ひとり肌のお悩みは異なり、またその時のコンディションによっても変わってきます。そこで、その時の肌状態に合わせて、柔軟に、自由にコースをカスタマイズできるセレクトコースを用意しました!オザキクリニックが厳選した美肌メニューのなかから、肌の状態やお悩みに合わせて自由にカスタマイズして、あなただけのオーダーメイドコースをつくることができます。自分の肌にベストな治療が受けられるので効果も違います。セレクトメニューはいずれも痛み・ダウンタイムがほとんどなく、エステ感覚で受けられるのも魅力です。
施術の価格
18,000円〜105,000円 (税込 19,800円〜 115,500円)
20代女性のシミ・そばかす Before 症例写真

Before

20代女性のシミ・そばかす After 症例写真

After

施術名 メディカル美肌セレクト
お悩み名 美肌治療、シワ・たるみ、シミ・そばかす、毛穴・黒ずみ

リスク:痛み:ほとんどなし(メニューによって部分的に軽い痛み) ダウンタイム:ほとんどなし

施術の概要
シミ、シワ、たるみ、毛穴の開き、乾燥…と、一人ひとり肌のお悩みは異なり、またその時のコンディションによっても変わってきます。そこで、その時の肌状態に合わせて、柔軟に、自由にコースをカスタマイズできるセレクトコースを用意しました!オザキクリニックが厳選した美肌メニューのなかから、肌の状態やお悩みに合わせて自由にカスタマイズして、あなただけのオーダーメイドコースをつくることができます。自分の肌にベストな治療が受けられるので効果も違います。セレクトメニューはいずれも痛み・ダウンタイムがほとんどなく、エステ感覚で受けられるのも魅力です。
施術の価格
18,000円〜105,000円 (税込 19,800円〜 115,500円)
30代女性のシミ・そばかす Before 症例写真

Before

30代女性のシミ・そばかす After 症例写真

After

施術名 フォトRF(SR)
お悩み名 美肌治療、シミ・そばかす

リスク:痛み:部分的にゴムで弾いたような痛みがあります ダウンタイム:なし

施術の概要
『フォトRF(SR)』は光エネルギー(IPL)と高周波エネルギー(RF:ラジオ波)を組み合わせた「シミ」「くすみ」を改善目的とした美容機器です。色素に反応する光エネルギーの効果でシミやくすみを解消し、さらに高周波熱が真皮層を活性化することでコラーゲン産生を促し、肌の内側からハリや弾力をもたらします。
施術の価格
13,800円〜75,000円 (税込 15,180円〜 82,500円)
30代女性のシミ・そばかす Before 症例写真

Before

30代女性のシミ・そばかす After 症例写真

After

施術名 フォトRF(SR)
お悩み名 美肌治療、シミ・そばかす

リスク:痛み:部分的にゴムで弾いたような痛みがあります ダウンタイム:なし

施術の概要
『フォトRF(SR)』は光エネルギー(IPL)と高周波エネルギー(RF:ラジオ波)を組み合わせた「シミ」「くすみ」を改善目的とした美容機器です。色素に反応する光エネルギーの効果でシミやくすみを解消し、さらに高周波熱が真皮層を活性化することでコラーゲン産生を促し、肌の内側からハリや弾力をもたらします。
施術の価格
13,800円〜75,000円 (税込 15,180円〜 82,500円)
20代女性のシミ・そばかす Before 症例写真

Before

20代女性のシミ・そばかす After 症例写真

After

施術名 フォトRF(SR)
お悩み名 美肌治療、シミ・そばかす

リスク:痛み:部分的にゴムで弾いたような痛みがあります ダウンタイム:なし

施術の概要
『フォトRF(SR)』は光エネルギー(IPL)と高周波エネルギー(RF:ラジオ波)を組み合わせた「シミ」「くすみ」を改善目的とした美容機器です。色素に反応する光エネルギーの効果でシミやくすみを解消し、さらに高周波熱が真皮層を活性化することでコラーゲン産生を促し、肌の内側からハリや弾力をもたらします。
施術の価格
13,800円〜75,000円 (税込 15,180円〜 82,500円)
40代女性のシミ・そばかす Before 症例写真

Before

40代女性のシミ・そばかす After 症例写真

After

施術名 フォトRF(SR)
お悩み名 美肌治療、シミ・そばかす

リスク:痛み:部分的にゴムで弾いたような痛みがあります ダウンタイム:なし

施術の概要
『フォトRF(SR)』は光エネルギー(IPL)と高周波エネルギー(RF:ラジオ波)を組み合わせた「シミ」「くすみ」を改善目的とした美容機器です。色素に反応する光エネルギーの効果でシミやくすみを解消し、さらに高周波熱が真皮層を活性化することでコラーゲン産生を促し、肌の内側からハリや弾力をもたらします。
施術の価格
13,800円〜75,000円 (税込 15,180円〜 82,500円)
20代女性のシミ・そばかす Before 症例写真

Before

20代女性のシミ・そばかす After 症例写真

After

施術名 フォトRF(SR)
お悩み名 美肌治療、シミ・そばかす

リスク:痛み:部分的にゴムで弾いたような痛みがあります ダウンタイム:なし

施術の概要
『フォトRF(SR)』は光エネルギー(IPL)と高周波エネルギー(RF:ラジオ波)を組み合わせた「シミ」「くすみ」を改善目的とした美容機器です。色素に反応する光エネルギーの効果でシミやくすみを解消し、さらに高周波熱が真皮層を活性化することでコラーゲン産生を促し、肌の内側からハリや弾力をもたらします。
施術の価格
13,800円〜75,000円 (税込 15,180円〜 82,500円)
30代女性のシミ・そばかす Before 症例写真

Before

30代女性のシミ・そばかす After 症例写真

After

施術名 フォトRF(SR)
お悩み名 美肌治療、シミ・そばかす

リスク:痛み:部分的にゴムで弾いたような痛みがあります ダウンタイム:なし

施術の概要
『フォトRF(SR)』は光エネルギー(IPL)と高周波エネルギー(RF:ラジオ波)を組み合わせた「シミ」「くすみ」を改善目的とした美容機器です。色素に反応する光エネルギーの効果でシミやくすみを解消し、さらに高周波熱が真皮層を活性化することでコラーゲン産生を促し、肌の内側からハリや弾力をもたらします。
施術の価格
13,800円〜75,000円 (税込 15,180円〜 82,500円)
30代女性のシミ・そばかす Before 症例写真

Before

30代女性のシミ・そばかす After 症例写真

After

施術名 フォトRF(SR)
お悩み名 美肌治療、シミ・そばかす

リスク:痛み:部分的にゴムで弾いたような痛みがあります ダウンタイム:なし

施術の概要
『フォトRF(SR)』は光エネルギー(IPL)と高周波エネルギー(RF:ラジオ波)を組み合わせた「シミ」「くすみ」を改善目的とした美容機器です。色素に反応する光エネルギーの効果でシミやくすみを解消し、さらに高周波熱が真皮層を活性化することでコラーゲン産生を促し、肌の内側からハリや弾力をもたらします。
施術の価格
13,800円〜75,000円 (税込 15,180円〜 82,500円)