アイズバイサメイジの症例写真

Case photos

オザキクリニックで治療を行った方の
症例写真をご覧いただけます。

アイズバイサメイジの症例写真 アイズバイサメイジの症例写真

アイズバイサメイジは、高周波の力でリフトアップ効果をもたらす「サーマクール」の目元専用チップを使用した治療法です。切らずに上まぶたのたるみを解消したい、目周りの小ジワを改善させたい、痛みやダウンタイムの少ない方法で治療したいという方におすすめ。オザキクリニックでは、お客様一人ひとりのご希望にあわせた治療法をご提供します。まずはお気軽にご相談ください。

アイズバイサメイジの症例写真一覧

アイズバイサメイジの症例写真

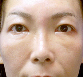
40代女性のアイズバイサメイジ Before 症例写真

Before

40代女性のアイズバイサメイジ After 症例写真

After

施術名 アイズバイサメイジ
お悩み名 目元のたるみ

リスク:痛み:ほとんどありません ダウンタイム:ほとんどありません

施術の概要
「切らないたるみ治療」の代表格として、驚きのリフトアップ力を誇る『サーマクール』。その目元専用として誕生したのが『アイズバイサメイジ』です。目の周りは皮膚が薄く、細やかな治療が必要となるデリケートな部位ですが、専用チップを用いることで、目の際まで照射可能に!もちろん肌内部のコラーゲン産生を促進し、細胞レベルで肌を若返らせるという『サーマクール』と同様の効果が得られます。
施術の価格
105,000円〜179,000円 (税込 115,500円〜 196,900円)