目の下のクマ治療の症例写真

Case photos

オザキクリニックで治療を行った方の
症例写真をご覧いただけます。

目の下のクマ治療の症例写真 目の下のクマ治療の症例写真

目の下のクマは、美容医療の力で改善が可能です。オザキクリニックでは、クマを根本から治したい、皮膚の表面を切らずにクマを改善させたいなど、お客様一人ひとりのご希望にあわせた治療法をご提供します。まずはお気軽にご相談ください。

目の下のクマ治療の症例写真一覧

目の下のクマ治療の症例写真

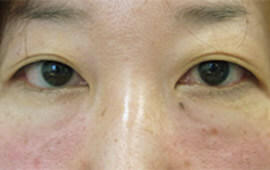
40代女性の目の下のクマ治療 Before 症例写真

Before

40代女性の目の下のクマ治療 After 症例写真

After

施術名 目の下の脱脂
お悩み名 目の下のクマ治療

リスク:痛み:麻酔を使用するため術中の痛みはありません。 ダウンタイム:【腫れ】 1週間程度/【内出血】 2週間程度

施術の概要
「疲れ顔」や「老け顔」の原因となる、目の下のクマやたるみ。加齢とともに現れる目の下のクマ・たるみは、下まぶたのぷっくりと膨らんだ脂肪によって起こります。 『目の下の脱脂』は、この下まぶたの余分な脂肪を取り除くことで、目の下のクマやたるみを解消し、明るい目元へと導いてくれる治療法です。目周りはデリケートな部位ですが、下まぶたの裏側から脂肪を取り除く施術なので、肌表面に傷が残ることはほぼなく、安心してお受けいただけます。 今なら特別モニター価格110,000円(税込)でお受けいただけます!
施術の価格
100,000円〜200,000円 (税込 110,000円〜 220,000円)
50代女性の目の下のクマ治療 Before 症例写真

Before

50代女性の目の下のクマ治療 After 症例写真

After

施術名 目の下の脱脂
お悩み名 目の下のクマ治療

リスク:痛み:麻酔を使用するため術中の痛みはありません。 ダウンタイム:【腫れ】 1週間程度/【内出血】 2週間程度

施術の概要
「疲れ顔」や「老け顔」の原因となる、目の下のクマやたるみ。加齢とともに現れる目の下のクマ・たるみは、下まぶたのぷっくりと膨らんだ脂肪によって起こります。 『目の下の脱脂』は、この下まぶたの余分な脂肪を取り除くことで、目の下のクマやたるみを解消し、明るい目元へと導いてくれる治療法です。目周りはデリケートな部位ですが、下まぶたの裏側から脂肪を取り除く施術なので、肌表面に傷が残ることはほぼなく、安心してお受けいただけます。 今なら特別モニター価格110,000円(税込)でお受けいただけます!
施術の価格
100,000円〜200,000円 (税込 110,000円〜 220,000円)
30代女性の目の下のクマ治療 Before 症例写真

Before

30代女性の目の下のクマ治療 After 症例写真

After

施術名 目の下の脱脂
お悩み名 目の下のクマ治療

リスク:痛み:麻酔を使用するため術中の痛みはありません。 ダウンタイム:【腫れ】 1週間程度/【内出血】 2週間程度

施術の概要
「疲れ顔」や「老け顔」の原因となる、目の下のクマやたるみ。加齢とともに現れる目の下のクマ・たるみは、下まぶたのぷっくりと膨らんだ脂肪によって起こります。 『目の下の脱脂』は、この下まぶたの余分な脂肪を取り除くことで、目の下のクマやたるみを解消し、明るい目元へと導いてくれる治療法です。目周りはデリケートな部位ですが、下まぶたの裏側から脂肪を取り除く施術なので、肌表面に傷が残ることはほぼなく、安心してお受けいただけます。 今なら特別モニター価格110,000円(税込)でお受けいただけます!
施術の価格
100,000円〜200,000円 (税込 110,000円〜 220,000円)
40代女性の目の下のクマ治療 Before 症例写真

Before

40代女性の目の下のクマ治療 After 症例写真

After

施術名 目の下の脱脂
お悩み名 目の下のクマ治療

リスク:痛み:麻酔を使用するため術中の痛みはありません。 ダウンタイム:【腫れ】 1週間程度/【内出血】 2週間程度

施術の概要
「疲れ顔」や「老け顔」の原因となる、目の下のクマやたるみ。加齢とともに現れる目の下のクマ・たるみは、下まぶたのぷっくりと膨らんだ脂肪によって起こります。 『目の下の脱脂』は、この下まぶたの余分な脂肪を取り除くことで、目の下のクマやたるみを解消し、明るい目元へと導いてくれる治療法です。目周りはデリケートな部位ですが、下まぶたの裏側から脂肪を取り除く施術なので、肌表面に傷が残ることはほぼなく、安心してお受けいただけます。 今なら特別モニター価格110,000円(税込)でお受けいただけます!
施術の価格
100,000円〜200,000円 (税込 110,000円〜 220,000円)
20代女性の目の下のクマ治療 Before 症例写真

Before

20代女性の目の下のクマ治療 After 症例写真

After

施術名 目の下の脱脂
お悩み名 目の下のクマ治療、シワ・たるみ

リスク:痛み:麻酔を使用するため術中の痛みはありません。 ダウンタイム:【腫れ】 1週間程度/【内出血】 2週間程度

施術の概要
「疲れ顔」や「老け顔」の原因となる、目の下のクマやたるみ。加齢とともに現れる目の下のクマ・たるみは、下まぶたのぷっくりと膨らんだ脂肪によって起こります。 『目の下の脱脂』は、この下まぶたの余分な脂肪を取り除くことで、目の下のクマやたるみを解消し、明るい目元へと導いてくれる治療法です。目周りはデリケートな部位ですが、下まぶたの裏側から脂肪を取り除く施術なので、肌表面に傷が残ることはほぼなく、安心してお受けいただけます。 今なら特別モニター価格110,000円(税込)でお受けいただけます!
施術の価格
100,000円〜200,000円 (税込 110,000円〜 220,000円)
30代女性の目の下のクマ治療 Before 症例写真

Before

30代女性の目の下のクマ治療 After 症例写真

After

施術名 目の下の脱脂
お悩み名 目の下のクマ治療、シワ・たるみ

リスク:痛み:麻酔を使用するため術中の痛みはありません。 ダウンタイム:【腫れ】 1週間程度/【内出血】 2週間程度

施術の概要
「疲れ顔」や「老け顔」の原因となる、目の下のクマやたるみ。加齢とともに現れる目の下のクマ・たるみは、下まぶたのぷっくりと膨らんだ脂肪によって起こります。 『目の下の脱脂』は、この下まぶたの余分な脂肪を取り除くことで、目の下のクマやたるみを解消し、明るい目元へと導いてくれる治療法です。目周りはデリケートな部位ですが、下まぶたの裏側から脂肪を取り除く施術なので、肌表面に傷が残ることはほぼなく、安心してお受けいただけます。 今なら特別モニター価格110,000円(税込)でお受けいただけます!
施術の価格
100,000円〜200,000円 (税込 110,000円〜 220,000円)
20代女性の目の下のクマ治療 Before 症例写真

Before

20代女性の目の下のクマ治療 After 症例写真

After

施術名 目の下の脱脂
お悩み名 目の下のクマ治療、シワ・たるみ、エラ・アゴ・小顔

リスク:痛み:麻酔を使用するため術中の痛みはありません。 ダウンタイム:【腫れ】 1週間程度/【内出血】 2週間程度

施術の概要
「疲れ顔」や「老け顔」の原因となる、目の下のクマやたるみ。加齢とともに現れる目の下のクマ・たるみは、下まぶたのぷっくりと膨らんだ脂肪によって起こります。 『目の下の脱脂』は、この下まぶたの余分な脂肪を取り除くことで、目の下のクマやたるみを解消し、明るい目元へと導いてくれる治療法です。目周りはデリケートな部位ですが、下まぶたの裏側から脂肪を取り除く施術なので、肌表面に傷が残ることはほぼなく、安心してお受けいただけます。 今なら特別モニター価格110,000円(税込)でお受けいただけます!
施術の価格
100,000円〜200,000円 (税込 110,000円〜 220,000円)
30代女性の目の下のクマ治療 Before 症例写真

Before

30代女性の目の下のクマ治療 After 症例写真

After

施術名 目の下の脱脂
お悩み名 目の下のクマ治療、シワ・たるみ、エラ・アゴ・小顔

リスク:痛み:麻酔を使用するため術中の痛みはありません。 ダウンタイム:【腫れ】 1週間程度/【内出血】 2週間程度

施術の概要
「疲れ顔」や「老け顔」の原因となる、目の下のクマやたるみ。加齢とともに現れる目の下のクマ・たるみは、下まぶたのぷっくりと膨らんだ脂肪によって起こります。 『目の下の脱脂』は、この下まぶたの余分な脂肪を取り除くことで、目の下のクマやたるみを解消し、明るい目元へと導いてくれる治療法です。目周りはデリケートな部位ですが、下まぶたの裏側から脂肪を取り除く施術なので、肌表面に傷が残ることはほぼなく、安心してお受けいただけます。 今なら特別モニター価格110,000円(税込)でお受けいただけます!
施術の価格
100,000円〜200,000円 (税込 110,000円〜 220,000円)
30代女性の目の下のクマ治療 Before 症例写真

Before

30代女性の目の下のクマ治療 After 症例写真

After

施術名 目の下の脱脂
お悩み名 目の下のクマ治療、シワ・たるみ

リスク:痛み:麻酔を使用するため術中の痛みはありません。 ダウンタイム:【腫れ】 1週間程度/【内出血】 2週間程度

施術の概要
「疲れ顔」や「老け顔」の原因となる、目の下のクマやたるみ。加齢とともに現れる目の下のクマ・たるみは、下まぶたのぷっくりと膨らんだ脂肪によって起こります。 『目の下の脱脂』は、この下まぶたの余分な脂肪を取り除くことで、目の下のクマやたるみを解消し、明るい目元へと導いてくれる治療法です。目周りはデリケートな部位ですが、下まぶたの裏側から脂肪を取り除く施術なので、肌表面に傷が残ることはほぼなく、安心してお受けいただけます。 今なら特別モニター価格110,000円(税込)でお受けいただけます!
施術の価格
100,000円〜200,000円 (税込 110,000円〜 220,000円)
20代女性の目の下のクマ治療 Before 症例写真

Before

20代女性の目の下のクマ治療 After 症例写真

After

施術名 目の下の脱脂
お悩み名 目の下のクマ治療、シワ・たるみ

リスク:痛み:麻酔を使用するため術中の痛みはありません。 ダウンタイム:【腫れ】 1週間程度/【内出血】 2週間程度

施術の概要
「疲れ顔」や「老け顔」の原因となる、目の下のクマやたるみ。加齢とともに現れる目の下のクマ・たるみは、下まぶたのぷっくりと膨らんだ脂肪によって起こります。 『目の下の脱脂』は、この下まぶたの余分な脂肪を取り除くことで、目の下のクマやたるみを解消し、明るい目元へと導いてくれる治療法です。目周りはデリケートな部位ですが、下まぶたの裏側から脂肪を取り除く施術なので、肌表面に傷が残ることはほぼなく、安心してお受けいただけます。 今なら特別モニター価格110,000円(税込)でお受けいただけます!
施術の価格
100,000円〜200,000円 (税込 110,000円〜 220,000円)
40代女性の目の下のクマ治療 Before 症例写真

Before

40代女性の目の下のクマ治療 After 症例写真

After

施術名 目の下の脱脂
お悩み名 目の下のクマ治療、シワ・たるみ

リスク:痛み:麻酔を使用するため術中の痛みはありません。 ダウンタイム:【腫れ】 1週間程度/【内出血】 2週間程度

施術の概要
「疲れ顔」や「老け顔」の原因となる、目の下のクマやたるみ。加齢とともに現れる目の下のクマ・たるみは、下まぶたのぷっくりと膨らんだ脂肪によって起こります。 『目の下の脱脂』は、この下まぶたの余分な脂肪を取り除くことで、目の下のクマやたるみを解消し、明るい目元へと導いてくれる治療法です。目周りはデリケートな部位ですが、下まぶたの裏側から脂肪を取り除く施術なので、肌表面に傷が残ることはほぼなく、安心してお受けいただけます。 今なら特別モニター価格110,000円(税込)でお受けいただけます!
施術の価格
100,000円〜200,000円 (税込 110,000円〜 220,000円)
40代女性の目の下のクマ治療 Before 症例写真

Before

40代女性の目の下のクマ治療 After 症例写真

After

施術名 目の下の脱脂
お悩み名 目の下のクマ治療、シワ・たるみ

リスク:痛み:麻酔を使用するため術中の痛みはありません。 ダウンタイム:【腫れ】 1週間程度/【内出血】 2週間程度

施術の概要
「疲れ顔」や「老け顔」の原因となる、目の下のクマやたるみ。加齢とともに現れる目の下のクマ・たるみは、下まぶたのぷっくりと膨らんだ脂肪によって起こります。 『目の下の脱脂』は、この下まぶたの余分な脂肪を取り除くことで、目の下のクマやたるみを解消し、明るい目元へと導いてくれる治療法です。目周りはデリケートな部位ですが、下まぶたの裏側から脂肪を取り除く施術なので、肌表面に傷が残ることはほぼなく、安心してお受けいただけます。 今なら特別モニター価格110,000円(税込)でお受けいただけます!
施術の価格
100,000円〜200,000円 (税込 110,000円〜 220,000円)
20代女性の目の下のクマ治療 Before 症例写真

Before

20代女性の目の下のクマ治療 After 症例写真

After

施術名 目の下の脱脂
お悩み名 目の下のクマ治療、シワ・たるみ

リスク:痛み:麻酔を使用するため術中の痛みはありません。 ダウンタイム:【腫れ】 1週間程度/【内出血】 2週間程度

施術の概要
「疲れ顔」や「老け顔」の原因となる、目の下のクマやたるみ。加齢とともに現れる目の下のクマ・たるみは、下まぶたのぷっくりと膨らんだ脂肪によって起こります。 『目の下の脱脂』は、この下まぶたの余分な脂肪を取り除くことで、目の下のクマやたるみを解消し、明るい目元へと導いてくれる治療法です。目周りはデリケートな部位ですが、下まぶたの裏側から脂肪を取り除く施術なので、肌表面に傷が残ることはほぼなく、安心してお受けいただけます。 今なら特別モニター価格110,000円(税込)でお受けいただけます!
施術の価格
100,000円〜200,000円 (税込 110,000円〜 220,000円)
40代女性の目の下のクマ治療 Before 症例写真

Before

40代女性の目の下のクマ治療 After 症例写真

After

施術名 目の下の脱脂
お悩み名 目の下のクマ治療、シワ・たるみ

リスク:痛み:麻酔を使用するため術中の痛みはありません。 ダウンタイム:【腫れ】 1週間程度/【内出血】 2週間程度

施術の概要
「疲れ顔」や「老け顔」の原因となる、目の下のクマやたるみ。加齢とともに現れる目の下のクマ・たるみは、下まぶたのぷっくりと膨らんだ脂肪によって起こります。 『目の下の脱脂』は、この下まぶたの余分な脂肪を取り除くことで、目の下のクマやたるみを解消し、明るい目元へと導いてくれる治療法です。目周りはデリケートな部位ですが、下まぶたの裏側から脂肪を取り除く施術なので、肌表面に傷が残ることはほぼなく、安心してお受けいただけます。 今なら特別モニター価格110,000円(税込)でお受けいただけます!
施術の価格
100,000円〜200,000円 (税込 110,000円〜 220,000円)
20代男性の目の下のクマ治療 Before 症例写真

Before

20代男性の目の下のクマ治療 After 症例写真

After

施術名 目の下の脱脂
お悩み名 目の下のクマ治療、シワ・たるみ

リスク:痛み:麻酔を使用するため術中の痛みはありません。 ダウンタイム:【腫れ】 1週間程度/【内出血】 2週間程度

施術の概要
「疲れ顔」や「老け顔」の原因となる、目の下のクマやたるみ。加齢とともに現れる目の下のクマ・たるみは、下まぶたのぷっくりと膨らんだ脂肪によって起こります。 『目の下の脱脂』は、この下まぶたの余分な脂肪を取り除くことで、目の下のクマやたるみを解消し、明るい目元へと導いてくれる治療法です。目周りはデリケートな部位ですが、下まぶたの裏側から脂肪を取り除く施術なので、肌表面に傷が残ることはほぼなく、安心してお受けいただけます。 今なら特別モニター価格110,000円(税込)でお受けいただけます!
施術の価格
100,000円〜200,000円 (税込 110,000円〜 220,000円)